Home › Unlabelled › Malleolus Medialis Hangi Kemikte Bulunur - Medial Malleolus Ossicle Radiology Case Radiopaedia Org / Kafatasının yan, üst duvarını ve çatısını yapar.
Malleolus Medialis Hangi Kemikte Bulunur - Medial Malleolus Ossicle Radiology Case Radiopaedia Org / Kafatasının yan, üst duvarını ve çatısını yapar.
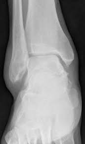
Malleolus Medialis Hangi Kemikte Bulunur - Medial Malleolus Ossicle Radiology Case Radiopaedia Org / Kafatasının yan, üst duvarını ve çatısını yapar.. Tibia'nın alt ucunun iç tarafından aşağıya doğru uzanan kalın çıkıntıdır. Tegmen tympani aşağıdaki kemiklerin hangisinde yer alır? Alt ucun iç tarafında distale doğru olan çıkıntıya, malleolus medialis adı verilir. General terms > osteology > appendicular skeleton > bones of the pelvic limb > skeleton of the leg > tibia > medial malleolus. Medial malleolus stress fracture augmented with arthrocell™ bone graft.
Os cuboideum hariç, tüm tarsal kemikler ve ilk 3 metatarsal kemik arasında bulunur. Aslında bu başlı başlına ayrı kemik değildir. A malleolus is the bony prominence on each side of the human ankle. .uzanan malleolus medialis, lateral kenarında ise sadece equidae'de bulunan ve fibula'nın disal ruminant'larda fibula'nın distal kısmı os malleolare adında ayrı bir kemik olarak tibia'ya eklemleşir. Malleolus medialis ile calcaneus arasında uzanır.
Medial Malleolus An Overview Sciencedirect Topics from ars.els-cdn.com Os cuboideum hariç, tüm tarsal kemikler ve ilk 3 metatarsal kemik arasında bulunur. 25 el kemikleri (ossa manus) her bir el iskeletinde 27 adet kemik bulunur. Alt bacak lateralde bulunan ince kemik ( lateralde bulunur). Humerus, üstte bulunan kanal:sulcus intertubercularis. Tibialis posterior'un pulsasyonu, malleolus medialis'in arkasında alınır. Medial malleolus, kaval kemiğinin, ayak bileğinde vücuda doğru olan yumru biçimindeki çıkıntıdır. Muhtemelen medial malleolus, bilekinizin iç tarafında çıkıntı yapan çıkıntı olarak bilinmektedir. Tibia'daki önemli yüzey işaretleri 7.
Alt extremite kemikleri üst extremiteye uygun olarak sınıflandırılmıştır.
.uzanan malleolus medialis, lateral kenarında ise sadece equidae'de bulunan ve fibula'nın disal ruminant'larda fibula'nın distal kısmı os malleolare adında ayrı bir kemik olarak tibia'ya eklemleşir. Sulcus arteriae vertebralis aşağıdaki kemiklerin hangisinde bulunur? Karın duvarı fasyaları ve onların devamı olan skrotal fasyalar. Üst uç condylus medialis ve lateralis, alt uç malleolus medialisdir. Tibia'nın alt ucunun iç tarafından aşağıya doğru uzanan kalın çıkıntıdır. Muhtemelen medial malleolus, bilekinizin iç tarafında çıkıntı yapan çıkıntı olarak bilinmektedir. İç yüzünde femur başının esas olarak eklem yaptığı yer olan yarımay şeklinde bir eklem yüzü bulunur. Medial malleolus stress fracture augmented with arthrocell™ bone graft. Each leg is supported by two bones, the tibia on the inner side (medial) of the leg and the fibula on the outer side (lateral) of the leg. Medial malleolus, ayak bileğinizi oluşturan üç kemik segmentinin en büyüğüdür, diğeri lateral ve posterior malleolusdur. Malleolus medialis ile calcaneus arasında uzanır. Tegmen tympani aşağıdaki kemiklerin hangisinde yer alır? Tibia'nın distal ucunun medial tarafındaki kemik çıkıntısı malleolus medialis olarak adlandırılır.
Tıp dilinde tibia adıyla bilinen kaval kemiğinin sonu; Malleolus medialis ile calcaneus arasında uzanır. 25 el kemikleri (ossa manus) her bir el iskeletinde 27 adet kemik bulunur. General terms > osteology > appendicular skeleton > bones of the pelvic limb > skeleton of the leg > tibia > medial malleolus. Kafatasının yan, üst duvarını ve çatısını yapar.
Cocuk Gelismi Anatomi Dersi By Heisenberg Issuu from image.isu.pub İç yüzünde femur başının esas olarak eklem yaptığı yer olan yarımay şeklinde bir eklem yüzü bulunur. Tarak kemikleridir.( ayak) 5 tane. Erişkin bir insan vücudunda ortalama 206 kemik bulunur. Tibialis posterior'un pulsasyonu malleolus medialis'in arkasında alınır. Karın duvarı fasyaları ve onların devamı olan skrotal fasyalar. Hangi yapı dorsum lingua üzerinde bulunmaz? General terms > osteology > appendicular skeleton > bones of the pelvic limb > skeleton of the leg > tibia > medial malleolus. Oranla daha ince olup, iç yanından aşağıya doğru uzanan çıkıntısı malleolus medialis olarak adlandırılır.
„ ön bacakta olduğu gibi, burada da iki kemik vardır.
Oranla daha ince olup, iç yanından aşağıya doğru uzanan çıkıntısı malleolus medialis olarak adlandırılır. Medial malleolus, kaval kemiğinin, ayak bileğinde vücuda doğru olan yumru biçimindeki çıkıntıdır. Aslında bu başlı başlına ayrı kemik değildir. A malleolus is the bony prominence on each side of the human ankle. Medial malleolus, ayak bileğinizi oluşturan üç kemik segmentinin en büyüğüdür, diğeri lateral ve posterior malleolusdur. Üst uç condylus medialis ve lateralis, alt uç malleolus medialisdir. Malleolus medialis'in arka yüzündeki oluktur (bu oluktan m. 25 el kemikleri (ossa manus) her bir el iskeletinde 27 adet kemik bulunur. Sulcus arteriae vertebralis aşağıdaki kemiklerin hangisinde bulunur? Medial malleolus stress fracture augmented with arthrocell™ bone graft. İşte bu bölgeye medial malleol adı verilir. İki kenar arasında membrana interossea cruris bulunur. Alt ucun iç tarafında distale doğru olan çıkıntıya, malleolus medialis adı verilir.
Sulcus arteriae vertebralis aşağıdaki kemiklerin hangisinde bulunur? Erişkin bir insan vücudunda ortalama 206 kemik bulunur. Karın duvarı fasyaları ve onların devamı olan skrotal fasyalar. Bacakla ayağın birleştiği yerde hem içi yanda hem de dış yanda deri altındaki kemiklerin yaptığı kabartı, aşık (çıkıntısı), malleol. Daha ince olup iç yanından aşağıya doğru uzanan çıkıntısı malleolus medialis olarak adlandırılır.
Medial Malleolus from www.imaios.com Der malleolus medialis umfasst zusammen mit dem malleolus lateralis der fibula gabelförmig das sprungbein (talus) des fußskeletts und bildet die so genannte malleolengabel. Each leg is supported by two bones, the tibia on the inner side (medial) of the leg and the fibula on the outer side (lateral) of the leg. .uzanan malleolus medialis, lateral kenarında ise sadece equidae'de bulunan ve fibula'nın disal ruminant'larda fibula'nın distal kısmı os malleolare adında ayrı bir kemik olarak tibia'ya eklemleşir. .içyanında yer alan üst ucu daha kalın, yaklaşık os femoris uzunluğunda tubiler bir kemiktir. „ ön bacakta olduğu gibi, burada da iki kemik vardır. Tıp terimlerinden malleolus medialis nedir? Tibia'nın alt ucunun iç tarafından aşağıya doğru uzanan kalın çıkıntıdır. Os cuboideum hariç, tüm tarsal kemikler ve ilk 3 metatarsal kemik arasında bulunur.
General terms > osteology > appendicular skeleton > bones of the pelvic limb > skeleton of the leg > tibia > medial malleolus.
„ bu kemiklerden iç tarafta bulunan tibia malleolus medialis'in dış yüzü üzerinde uzunlamasına seyreden bir oluk, sulcus malleolaris bulunur. Humerus, üstte bulunan kanal:sulcus intertubercularis. Hangi yapı dorsum lingua üzerinde bulunmaz? İki ucu bir gövdesi vardır. İki kenar arasında membrana interossea cruris bulunur. Medial malleolus, kaval kemiğinin, ayak bileğinde vücuda doğru olan yumru biçimindeki çıkıntıdır. Malleolus medialis'in arka yüzünde sulcus malleolaris denilen oluk bulunur (7, 35). Tıp dilinde tibia adıyla bilinen kaval kemiğinin sonu; Tegmen tympani aşağıdaki kemiklerin hangisinde yer alır? Olier ve mafucci sendromunda bulunan kemik tümörü. Tarak kemikleridir.( ayak) 5 tane. Erişkin bir insan vücudunda ortalama 206 kemik bulunur. Tibia'nın distal ucunun medial tarafındaki kemik çıkıntısı malleolus medialis olarak adlandırılır.
comment 0 Comments
more_vert